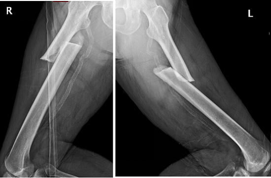
2018年上海交通大學醫學院附屬仁濟醫院創傷骨科碰到了一位從馬路臺階上摔倒的老年女性患者,拍片顯示是雙側股骨干近三分之一骨折(圖1),很對稱。

圖1
李占玉醫生團隊當時嚇了一跳,輕微暴力就能引起雙側股骨干骨折,這比較少見,肯定是病理性骨折,首先想到的是腫瘤所致,追問病史,患者否認有腫瘤病史,但有系統性紅斑狼瘡30多年,口服福善美5年,但已經停藥2年,在摔倒前有左側大腿根疼痛。根據病人的病史、體征和X線片所見,我們診斷為非典型股骨骨折,然后行髓內釘內固定術,術后8個月骨折愈合(圖2)。

圖2:髓內釘固定骨折,術后8個月,骨折愈合
無獨有偶,我們2018年又碰到一位橈骨干骨折的老年女性患者,X片顯示是短斜型骨折,病人是從高40公分左右的床上掉下來摔骨折的,暴力程度不大,追問病史,她說自己患系統性紅斑狼瘡,服用激素30余年,口服福善美8年,沒有停藥。我們也診斷為非典型骨折,給予橈骨切開復位,鋼板內固定。后來患者失隨訪。2019年10月,她在晾衣服時,一甩手,又引起另一側前臂劇痛,拍照顯示也是橈骨干骨折,符合非典型骨折的標準,建議她馬上手術,但患者拒絕了,石膏固定后就再沒來過,再來時已經是2020年10月,拍片顯示已經骨不連,有缺損,建議她切開復位+自體取髂骨植骨?;颊哌@時候還發現有雙側股骨頭壞死,也需要手術,拒絕取髂骨,想等關節置換時從鋸斷的股骨頭附近取骨。在2020年12月髖關節置換同時,我們行橈骨切開復位+自體植骨+鋼板內固定術。術后3個月橈骨骨折愈合良好。
什么是非典型骨折?
以上兩個病例,臨床上很少見。我們查了很多文獻,發現非典型骨折,主要是股骨干最多,其他部位的報道很罕見。2005年Odvina等首次報告5例長期應用阿侖膦酸的股骨骨折患者,通過組織學分析表明患者骨轉換被過度抑制,考慮與長期應用雙磷酸鹽有關。您要問了,啥是非典型骨折???2010年,美國骨礦研究協會將非典型股骨骨折定義為無創傷或低能量創傷造成的股骨轉子下或股骨干骨折。
如何診斷非典型骨折?
那如何診斷為非典型股骨骨折呢?骨折部位必須發生在轉子下與股骨髁之間。
診斷必須具備4項以上的主要標準。主要標準如下:
1.損傷機制:無創傷或輕微外傷(站立高度或以下)。
2.骨折線起自外側皮質,橫行為主,延伸至內側皮質時可能為斜形。
3.非粉碎性或輕微粉碎性骨折。
4.不完全骨折僅累及外側皮質,完全骨折累及雙側皮質,內側可有一“尖峰”。
5.局部的骨膜反應或外側皮質發生“鳥嘴樣”改變。
除了主要標準,還要次要標準供參考:
1.廣泛的股骨干皮質增厚。
2.具有前驅癥狀——大腿或腹股溝處疼痛。
3.雙側骨折。
4.骨折延遲愈合。
5.相關藥物使用史(雙磷酸鹽、糖皮質激素、質子泵抑制劑)。
6.合并疾?。ㄌ悄虿?、類風濕關節炎、系統性紅斑狼瘡、維生素D缺陷癥)。
什么人容易發生非典型骨折?
有研究表明:非典型股骨骨折的發病率為1.2%。69%有前驅癥狀,22.5%合并對側股骨骨折,90%有雙磷酸鹽使用史。長期使用雙膦酸鹽明顯增加了非典型股骨骨折風險,但并非所有確診非典型股骨骨折患者均有雙磷酸鹽使用史。
非典型股骨骨折通常發生在應用雙磷酸鹽5年后,平均為7.3年。有研究表明:哪怕停藥1年,患非典型股骨骨折的風險也會降低70%。所以推薦的藥物假期:阿侖膦酸鈉5年,唑來磷酸鈉3年,也就是說這兩種藥用5年和3年必須要停一下。
黃種人非典型股骨骨折風險是白種人8倍,長期應用糖皮質激素(≥1年),非典型股骨骨折風險增加3倍。
著名的新英格蘭醫學雜志2020年有研究表明:雙磷酸鹽使用時間越長,非典型股骨骨折的風險越高;停用雙磷酸鹽的時間越長,非典型股骨骨折的發病率越低。
非典型骨折怎么治療?
那有人要問了,非典型股骨骨折確診后需要馬上手術嗎?這里有個治療流程:如果完全骨折,那肯定要手術治療,同時停用雙磷酸鹽,補充維生素D3和鈣片,考慮使用特力帕肽治療,還要評估對側股骨。如果對側股骨為不完全性骨折,可以保守治療,臥床休息,或者助行器保護下,部分負重,停用雙磷酸鹽,補充維生素D3和鈣片。如果疼痛厲害,可以用髓內釘預防性治療。如果對側股骨正常,那要做骨掃描或者磁共振,定期隨訪。有研究表明:不完全性骨折,保守治療,近一半能愈合;而預防性手術治療的患者,愈合率97%。這里有個美國標準:如果不完全骨折伴有嚴重疼痛,手術治療;如果疼痛輕微的,限制負重2到3個月,如果沒有好轉,就手術治療;如果是無癥狀的非典型股骨骨折,可部分負重,但避免劇烈活動,直至磁共振水腫信號消失。
關于手術治療,選用鋼板還是髓內釘更好?有研究表明:鋼板的失敗率比髓內釘高近3倍,所以首選髓內釘固定。除非髓腔很小,沒法使用髓內釘,才使用鋼板。而且,相對于普通股骨骨折,這種骨折愈合很慢,平均7個月以上,而且失敗后翻修率高。我們醫院也曾經遇到一例非典型股骨骨折患者,在其他醫院確診后做了髓內釘固定,結果5個月還沒有愈合,又摔了一跤,導致髓內釘斷裂,骨折端移位,在我們醫院做了翻修手術,選用髓內釘+鋼板+自體骨植骨,術后1年5個月X線片顯示骨折完全愈合。所以對于主刀醫生來說,工具的選擇和手術技巧,怎么重視都不為過。
遇到這種病人,應該立即停用雙磷酸鹽,適當補鈣和維生素D3。對雖經持續治療但仍有不愈合傾向的患者,考慮使用特立帕肽。有研究表明:特立帕肽可以縮短非典型股骨骨折愈合時間,明顯降低骨不連及延遲愈合的發生率。

作者簡介:
李占玉-醫學博士,副主任醫師,上海交通大學醫學院附屬仁濟醫院創傷骨科,行政副主任;從事創傷骨科19年,擅長微創治療復雜性四肢骨折;主要從事周圍神經損傷與修復后大腦功能重組的實驗研究。發表論文16篇;獲得國家級專利3項;參編國家級教材1部;獲得衛生局和交大醫工結合課題各一項。
學術任職:
上海市醫學會手外科??品謺诎藢梦瘑T會副主任委員
上海市醫學會骨科醫師分會第二屆委員會創傷學組委員
上海市醫學會手外科醫師分會第一屆委員會委員
上海市醫學會手外科??品謺谄邔梦瘑T會委員


